A recent case series, co-authored by ScoliCare’s Chief of Research and Communications, Rose Mirenzi, along with Nora-Lee Doueihi, Juan du Plessis, and Dr. Jeb McAviney, offers promising long-term outcomes using the ScoliBrace® system in an adult population.
Adult Scoliosis: Long-Term Non-Surgical Management with ScoliBrace®
Adult scoliosis is a complex and often progressive condition that can significantly impact pain, posture, and overall quality of life. While surgical intervention is sometimes necessary, many adults seek effective conservative treatments that help manage symptoms and stabilise curves without the risks of surgery.
Study Overview: ScoliBrace® in Adult Scoliosis
This case series reviewed adults with scoliosis who were treated using custom-designed ScoliBrace® orthoses, alongside targeted rehabilitation. The patients presented with varying curve types and severities, with goals focused on pain reduction, postural improvement, and curve stability.
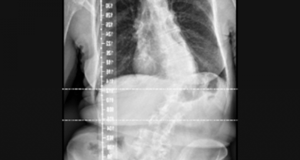
Each brace was designed using 3D body scanning and tailored to optimise alignment while promoting functional correction. Patients were monitored regularly, with outcomes measured through radiographic Cobb angle changes, postural photographs, and quality-of-life assessments.
Results: Pain Relief, Curve Control & Postural Gains
- Curve Management: Bracing contributed to stabilisation or improvement of Cobb angles, reducing the risk of progression in adulthood
- Pain Outcomes: Many patients reported meaningful pain reduction with consistent brace wear.
- Postural Improvements: Photographic assessments demonstrated enhanced spinal balance and alignment, with benefits maintained long-term when combined with exercise.
Clinical Implications
This case series reinforces the role of custom, full-time or part-time bracing in managing adult scoliosis. The main results were improvement of coronal and sagittal balance, which are both linked to improving quality of life and reducing pain, and stabilisation of Cobb angles.
These findings suggest that ScoliBrace® can form a core component of comprehensive, non-surgical scoliosis care, particularly when tailored to individual needs and supported with rehabilitation.
You can read the case series here.
For Healthcare Professionals
If you are managing an adult patient with scoliosis who is seeking non-surgical options, consider referral for a ScoliBrace® assessment. Early intervention, even in adulthood, can improve outcomes and reduce progression risk.
For more information on this case series or to discuss clinical referral pathways, feel free to reach out. Our team is available for second opinions, treatment planning, and X-ray review support.
The post Case Series – Improvement in Coronal and Sagittal Balance and Stabilisation of Cobb Angle in Adult De-Novo Scoliosis Using ScoliBrace® appeared first on ScoliCare.

