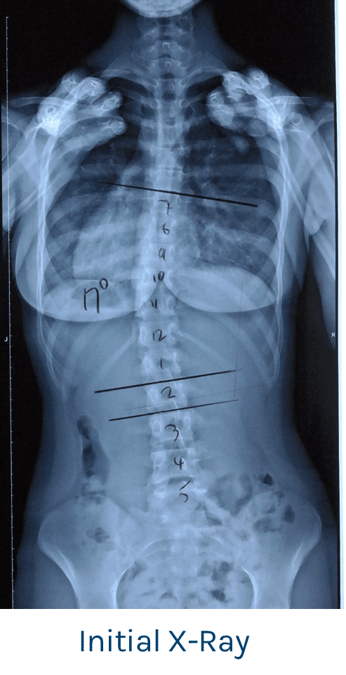
Patient aged 14 years of age with a primary thoracolumbar curve measured at 17 degrees (Cobb angle).
Reduction of a scoliosis in an adolescent using ScoliBalance (Scoliosis Specific Exercise Rehabilitation)
Patient was referred to a ScoliCare Clinic by an orthopaedic surgeon for exercise rehabilitation treatment for scoliosis. The patient presented with a left coronal imbalance which proved to be a primary left thoracolumbar curve measured at 17 degrees.
In this particular case the scoliosis was postural, and the presenting posture appeared more exaggerated than the X-ray showed. There was a noted hip asymmetry.
The patient also reported pain and fatigue in her mid-back when sitting for long periods and occasionally when carrying her school bag.

Treatment
This patient was recommended 12 sessions of the ScoliBalance program with all sessions modified to accommodate a postural rather than structural curve. These sessions were conducted with the ScoliBalance Rehabilitation Provider which took 4 months.
She started with weekly sessions in the learning phase and then fortnightly sessions for the remaining duration.
In these sessions the patient’s flexibility, balance and strength were tested before, during and after treatment to determine the effectiveness of the program. The exercises included learning active self-corrections (ScoliCorrections) specific to the patient’s curve, as well as general strength, core strength, balance exercises and traction techniques on the ScoliRoll. The patient’s exercise program was done daily at home and took approximately 40mins to complete.
Results
Over the 4 months of treatment, there was a gradual improvement in the patient’s posture and core stability. By the final session her posture had become a lot more centered and her waist and hips were now symmetrical. X-ray showed a reduction in the curve from 17.5 degrees to 13 degrees.
In functional testing, her lateral bending became more symmetrical and increased by 6cm to the right and 3 cm to the left. Her abdominal endurance test score, originally 30 sec, improved to 2 mins and her trunk extensor test, originally 18 sec, also improved to 2 mins.
The patient noted she recognised a change in her posture and strength, and now does not experience pain. She also noticed that her co-ordination has improved since starting the treatment

Conclusion
Through the use of the specific and individualised ScoliBalance program, the patient showed considerable improvement in her posture and more importantly was able to reduce the curvature of her scoliosis. This treatment method proved effective in this case, but the patient needs to be consistent with these exercises long-term in order to maintain the improvements she has achieved.
NB:Results vary from case to case. Our commitment is to recommend the most appropriate treatment based on the patients type and severity of scoliosis.
© ScoliCare
The post Case – Scoliosis Specific Exercise (14 year old female) appeared first on ScoliCare.